Ортодонтическое лечение. Клинический случай

3 минуты на чтение
3
Это крайне важно для сроков и конечного результата!
Но наши назначения и рекомендации выполняются не всегда, увы
Так случилось и с нашей юной пациенткой.
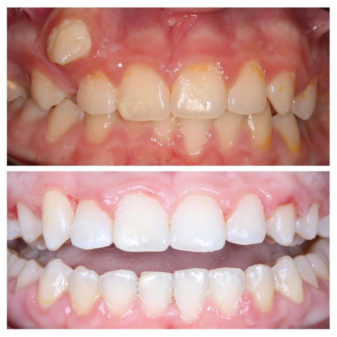
Девочке 13 лет.
• Клык на верхней челюсти прорезался выше линии прикуса — это называется супраположение.
• "Пятерка" там же выбивается из ряда — нёбное или оральное прорезывание.
• Центральная линия смещена вправо.
• На нижней челюсти имеется небольшая скученность.
• Плюс доставляет проблем неудовлетворительная домашняя гигиена.
Ортодонт нашей команды Диана Кива начала работу с пациенткой осенью 2020 года.
Установили брекет-систему, а для возвращения клыка в естественное положение нужно было носить эластики.
Это специальные резинки для целей ортодонтического перемещения.
Девочка не носила их ни дня!
Это значительно увеличивало срок лечения.
В подростковом возрасте челюсти как раз растут и есть шанс исправить прикус быстро и с хорошим прогнозом.
Но брекет-лечение это еще и ответственность самого пациента, врач не надзиратель!
Гигиена все также страдала, но мама приводила девочку практически ежемесячно на профгигигену.
К сожалению, кариеса избежать не удалось.
Его также вылечили у нас в #ЦентрСелютиной.
✔️Брекеты сняли в августе 2022 года, потому что поставленных целей достигли.
Теперь задача — не дать зубам вернуться в исходное положение.
Для этого на внутренней поверхности обеих челюстей установили несъемные ретейнеры от клыка до клыка.
Плюс ночью пациентка теперь носит пластинки Хоули (Hawley) на верхней и нижней челюстях.
Это специальные аппараты из акрила и металлической дуги, чтобы не допустить возврата перемещенных зубов.
❗Хочу напомнить, что и вы и ваш врач заинтересованы в успешном брекет-лечении.
Поэтому назначения и рекомендации нужно выполнять строго и не пропускать визиты.
Читайте также






