Ортодонтический аппарат Haas.

3 минуты на чтение
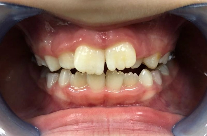
3
Что на фото:
Явно зубам места маловато.
Поэтому - скученность.
Что предприняла мой ортодонт Оксана Журавская.
Рекомендовала к ношению и изготовила особый аппарат.
Называется аппарат Haas
Смотрите фото - там подробности.
Аппарат показан для:
1. Расширения верхней челюсти.
2. Профилактики скученности.
3. Разблокировки нижней челюсти.
4. РАСШИРЕНИЯ верхних дыхательных путей, что важно при аденоидах.
▫️Арпарат несъёмный.
Фиксируется к зубам при помощи специального цемента.
Смотрите фото, будет понятнее.
Так что ребёнок не сможет его снять.
▫️Устанавливается на молочные зубы, нет риска повреждения постоянных.
▫️Незаметен во рту.
▫️Значительное сокращение сроков последующего лечения на брекетах.
▫️Малая продолжительность лечения (активный период всего около 2х недель).
▫️Решает не только ортодонтические, но и отоларингологические проблемы.
! Оптимальный возраст для аппарата Haas 9-10лет.
Читайте также






