Мигрень и зубы: в чем связь?

3 минуты на чтение
4
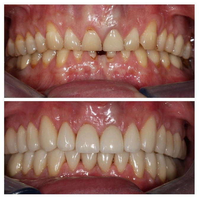
Пришел к доктору Денису Фоменко с жалобами на оголение шеек, стираемость зубов и частые мигрени.
Все эти проблемы возникли из-за слишком крутого наклона зубов и центральных резцов в частности.
Из-за этого нижняя челюсть вынужденно оказалась в заднем положении, гораздо глубже, чем положено.
Как следствие, бруксизм и стирание.
А значит и снижение высоты прикуса.
Что и вызвало частые мигрени!
За один фактор зацепились все другие и принесли массу проблем со здоровьем и, естественно, плохое самочувствие и настроение!
Доктор Фоменко провел диагностику — это долгий, сложный комплексный процесс.
В результате было решено поднять высоту прикуса и выдвинуть нижнюю челюсть вперёд на 2 мм.
✔Сперва сделали репозиционирующий сплинт на 1 месяц — это специальная съёмная накладка на зубы, если надо рассказать про нее подробнее, ставьте в комментариях.
За месяц ношения сплинта не было ни одной мигрени!
✔После коррекции положения нижней челюсти зубы отреставрировали керамическими коронками.
Вся работа заняла около 4 месяцев. С этапа обращения прошло уже достаточно много времени и недавно пациент приходил на осмотр.
Все проверили, все в порядке.
А самое главное, что пациент здоровый, довольный и счастливый!
Читайте также






