Лечение зубов ребёнка в условиях наркоза

3 минуты на чтение
3
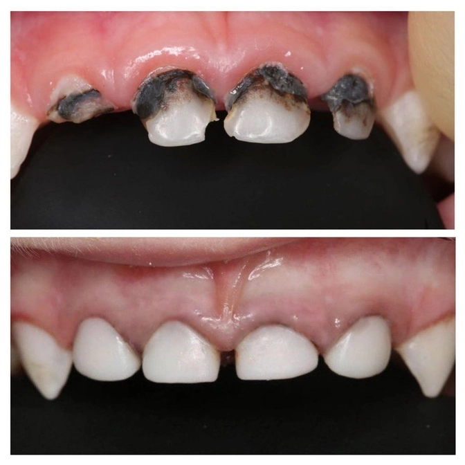
Ребенок наотрез отказался сотрудничать с доктором, а зубки разрушены ооочень сильно. Вы все сами видите по фото.
Перед вами на верхнем фото наглядный пример серебрения. Ранее пациент проходил лечение в другой клинике, и на тот момент родителям никакой альтернативы предложить не смогли.
Недавно они пришли в #ЦентрСелютиной. Больше тянуть было нельзя, иначе инфекция проникла бы вглубь и могла негативно повлиять на зачатки постоянных зубов.
Кариес основательно "сожрал" все четыре верхних резца. И серебрение в данном случае использовалось не по назначению.
Ребенок маленький и неконтактный, а работа требовалась поистине ювелирная.
Поэтому, родителям было предложено лечение в условиях глубокой седации.
Результат на фото.
Все четыре резца сделали за один раз.
✔Доктор Мария Штельмах справилась блестяще!
И теперь пациент улыбается широкой детской улыбкой с беленькими зубками-жемчужинками.
Процедура лечения в условиях глубокой седации не новая и уже отлично изучена.
За одно посещение можно сделать огромный объем работы и избежать слез, истерик и уговоров неконтактного ребенка, и, конечно, спасти зубки от разрушения.
Читайте также






