Лечение зубов под наркозом.

3 минуты на чтение
3
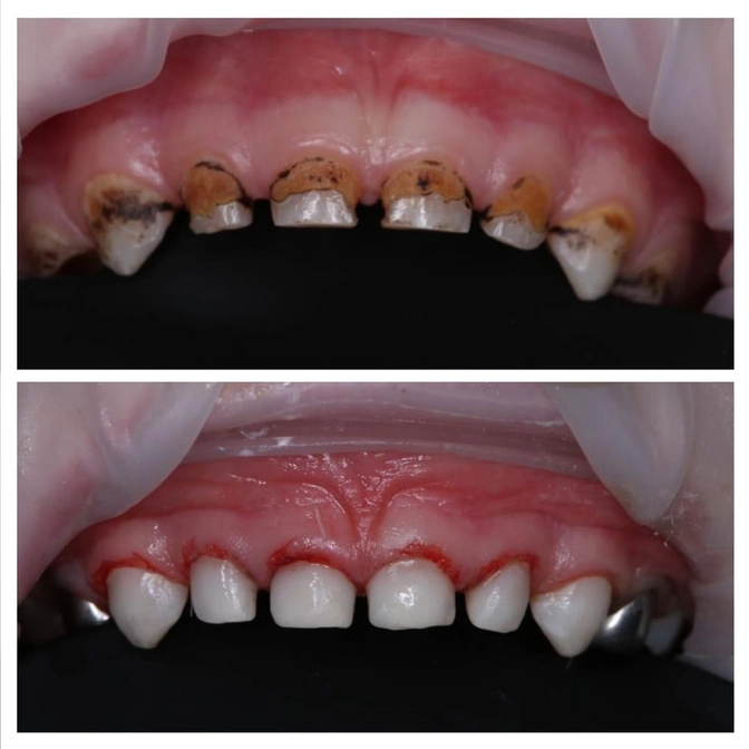
Ребенок маленький, а зубки разрушены ооочень сильно.
Вы все сами видите по фото.
Огромную роль в этом сыграл наследственный фактор: эмаль зубов очень слабая + присоединился просто термоядерный налет Пристли.
А ребенку-то всего 4,5 года.
Еще год назад родители хотели пролечить ребенка под наркозом, но из-за постоянных болезней откладывали.
Больше тянуть нельзя, иначе зубки можно было потерять.
❗В результате лечение в условиях глубокой седации заняло 4,5 часа!
Работу проводила детский стоматолог Мария Штельмах и отличная команда медсестер и анестезиолога.
СПАСЛИ ВСЕ ЗУБКИ!
✔Пролечено 5 пульпитов и 3 кариеса на жевательных зубках,
✔Передние все были с кариесом,
✔На разрушенные "четверки" установлены металлические коронки,
✔Все зубки очистили от налета Пристли.
Невероятно сложная и кропотливая работа!
Доктору Штельмах браво!
Теперь пациент улыбается широкой детской улыбкой с беленькими зубками-жемчужинками.
В #ЦентрСелютиной мы делаем все возможное, чтобы избежать ненужных процедур.
Наркоз это не конфетка, которую можно всем.
Это серьезная процедура, требующая определенной подготовки и имеющая ряд противопоказаний и побочных эффектов.
Конкретно в этом случае применение наркоза абсолютно оправдано:
1. Во-первых, ребенок маленький,
2. Во-вторых, объем работы огромный,
3. В-третьих, откладывать и тянуть нельзя!
Читайте также






