Лечение зубов под наркозом.

3 минуты на чтение
3
В #ЦентрСелютиной она приехала из другого города, чтобы вылечить зубки.
Лечение проводила детский стоматолог Мария Штельмах.
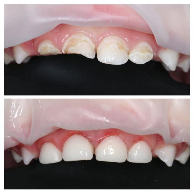
А фронт работ был немалый!
• На четырех верхних резцах пульпиты;
• Верхние "четверки" — одна с кариесом, другая тоже с пульпитом.
Объем работы большой, а ребенок очень маленький да еще и из другого города, поэтому нет возможности приехать на несколько приемов.
Решено лечить в наркозе.
Процедура эта не новая и уже хорошо изучена.
За одно посещение можно проделать огромный объем работы и избежать слез, истерик и уговоров неконтактного ребенка, и, конечно, спасти зубки от разрушения.
Сами посудите, доктору Штельмах понадобилось 2,5 часа на все манипуляции — и это когда ребенок под наркозом и не приходится его уговаривать и располагать к себе!
Такое количество времени даже взрослому сложно высидеть, а тут двухлетний ребенок.
Поэтому, лечение в наркозе тут абсолютно оправдано!
✔Зубки вылечили и восстановили;
✔Плюс загерметизировали нижние "четверки", чтобы кариес до них не добрался.
"Пятерок" у девочки пока нет, а так бы и их запечатали.
Напоминаю, герметизация фиссур — это один из способов профилактики кариеса, но не панацея.
А если вы все же сомневаетесь по поводу лечения под наркозом, то можете прийти в #ЦентрСелютиной на консультацию.
Мы все расскажем и покажем.
Вы узнаете в подробностях об анализах, проведении процедуры, о самом наркозе, получите консультацию анестезиолога-реаниматолога.
Читайте также






