Лечение зубов малышки под наркозом.

3 минуты на чтение
3
Заранее с ее родителями мы провели онлайн-консультацию.
Был составлен предварительный финансовый план лечения.
Расстояние не помеха.
Более подробную информацию, как именно это осуществить в случае актуальности, можно получить по телефону: +79265384884
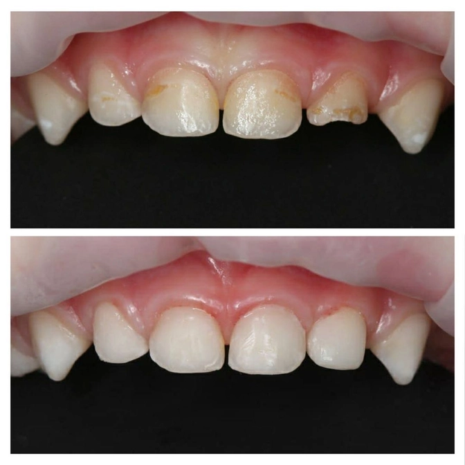
Итак, были жалобы на «много кариеса» — зубы ребёнка разрушались.
Объем лечения большой.
Девочка маленькая
Живет в другой стране и в Москву прилетела совсем не надолго.
Поэтому лечили все и сразу в условиях медикаментозного сна (наркоз)
Для снятия дополнительных вопросов: использовался газ севоран.
Работу проводила наш детский стоматолог Гульфия Магомедова (Билялова).
За 2 часа в наркозе было вылечено 11 зубов!
• 3 хронических пульпита;
• 3 средних кариеса;
• 5 зубов загерметизировано.
"Четверка" ранее была удалена в другом месте
Уже много чего писала о наркозе, о его плюсах и минусах.
О том, какие анализы сдавать и как готовиться
О том, что я против его впаривания, когда можно обойтись без него.
Читайте также






