Лечение трехлетки без наркоза

3 минуты на чтение
3
Так и случилось с этой малышкой.
Ей 3 года, и это был первый визит к стоматологу.
Родители заранее готовили ее, за что им огромное спасибо.
Начали мы с адаптации, познакомились, подружились, мягко погрузили в процесс лечения.
Забегая вперед, скажу, что все прошло на ура.
Малышка сотрудничала и открывала ротик.
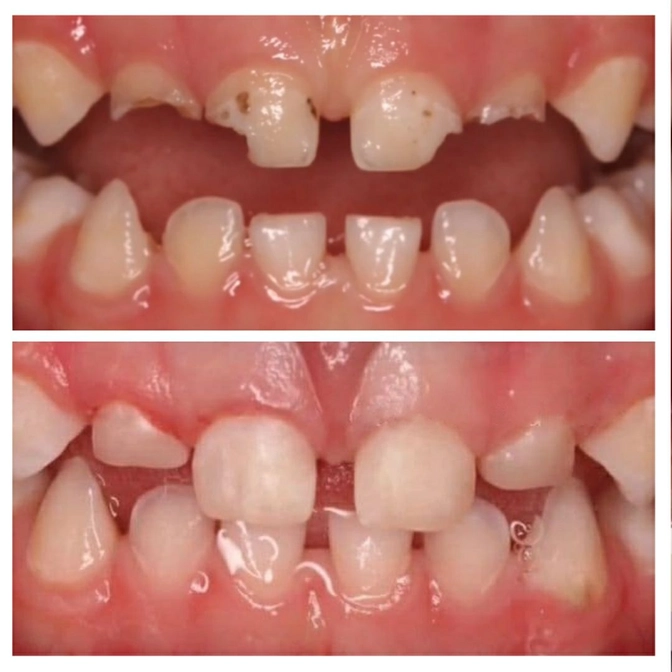
Верхние резцы все были сильно разрушены.
Но повезло, это оказался только кариес.
✔️4 зуба лечили в 2 посещения, чтобы пациентку не перегружать, и чтобы она не уставала.
Это тоже существенный нюанс — важно не перегнуть с лечением и не стараться сделать всё в один раз.
Лучше сделать меньше и оставить побольше времени на общение после приема.
Именно так дети становятся сговорчивее.
Понимают, что у врача все пройдет быстро и еще и подарок дадут.
✔️Лечили с анестезией;
✔️Пораженные ткани убрали;
✔️Зубки восстановили композитным материалом.
Мастерство наших детских стоматологов на высшем уровне!
Малышку принимала Ольга Новикова.
Читайте также






