Лечение ребенка под наркозом

3 минуты на чтение
3
При этом малыш неконтактный, боится, когда к нему приближаются, родители чистят ему зубы с трудом.
Естественно, лечили в наркозе.
Пациент попал в заботливые руки нашего детского стоматолога Марии Штельмах.
Что сделано?
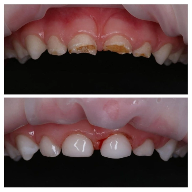
✔️5 зубов загерметизировали;
✔️Вылечили 3 кариеса на жевательных зубах;
✔️3 передних резца удалось так технично обработать, что "нерв" не затронут — воистину ювелирная работа!
Всё это заняло 2,5 часа.
После выхода из наркоза пациент с родителями находится у нас в Центре еще 30–40 минут, чтобы врач мог проконтролировать его состояние.
Затем отпускаем их домой, но остаемся на связи по телефону.
Даем рекомендации по уходу за зубками и ждем на профилактические осмотры каждые 3 месяца.
Берегите зубки!
Читайте также






