Лечение постоянного зуба у ребенка

3 минуты на чтение
3
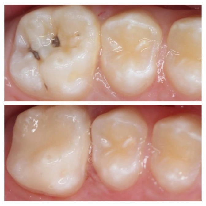
Зуб остался "живой" благодаря нашему стоматологу Марии Штельмах.
Рассказываю, как все было:
Пациенту 7 лет.
Зуб "шестерка", меняться не будет.
Кариес полностью убрали, но чуууть-чуть вскрылась пульпа - прям совсем малюсенькая ее точка.
Не удалять же?
Неет, мы пошли другим путем.
✔Вскрытую пульпу обработали и дезинфицировали.
✔Положили биодентин и сделали сверху реставрацию.
✔Биодентин - это стоматологический цемент на основе силиката кальция.
Абсолютно безопасный и современный материал, который обладает:
• биоинертностью - не отторгается и не наносит вреда организму;
• биосовместимостью - встраивается в структуру организма и вызывает положительный ответ окружающих тканей.
1. Биодентин можно использовать для лечения в любом возрасте.
2. Он обладает точно такими же механическими свойствами, как и дентин человека.
Т.е. при жевательной и температурной нагрузке не вызовет микротравму зуба.
3. Стимулирует образование заместительного дентина, а значит, у нас есть возможность сохранить “нерв” там, где мы раньше были вынуждены его удалить.
За пациентом мы присматриваем каждые 3 месяца, т.к. у мальчика сахарный диабет.
Это также накладывает свои отпечатки на особенности лечения.
Читайте также






