Лечение неправильного прикуса: перекрестный прикус.

3 минуты на чтение
3
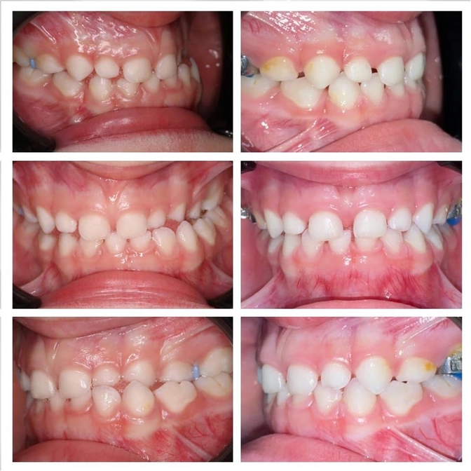
Пришла с жалобами на неправильный прикус.
Зоркий глаз ортодонта #ЦентрСелютиной Оксаны Журавской сразу же определил вид аномалии.
Перекрестный прикус.
В анамнезе у девочки есть вредная-вредная привычка - подкладывает руку под щеку.
Нижняя челюсть "уехала" вбок.
Плюс ко всему выявлены аденоиды в стадии ремиссии.
Пациентке их не удаляли, но она под наблюдением✔
В периоды обострения ребенок, естественно, дышит ртом, что вызвало сужение верхней челюсти.
Ну а нижней ничего не остается, как вынужденно принять удобное положение.
В этом случае она сместилась в левую сторону.
Этапы работы:
▪️В начале сентября установили аппарат Хаас для быстрого нёбного расширения;
▪️За пару недель девочка с ним отработала и пришла повторно;
▪️Назначили еще пару активаций;
▪️В ноябре проведен плановый осмотр, и принято решение, что снимать аппарат будем в марте для закрепления результата.
✔На фото видно, что гигиена страдает.
С мамой девочки провели беседу и рекомендовали провести профессиональную чистку, чтобы избежать развития кариеса.
➡Перекрестный прикус – это патология смыкания зубных рядов из-за несоответствия их размеров и формы в поперечном направлении.
Он требует лечения в раннем возрасте, поэтому, чем раньше вы придете на профосмотр, и врач заметит деформацию, тем проще и быстрее сможете избежать неприятностей.
Если не вовремя начать лечение, то перекрестный прикус может сопровождаться дисфункцией и неправильным положением головки в височно-нижнечелюстном суставе, неправильной работой мышц, затруднением при открывании и закрывании рта.
Перекрестный прикус встречается в практике реже всего, но относится к числу наиболее тяжелых нарушений окклюзии (смыкания) и требует длительного активного ортодонтического лечения и продолжительного ретенционного периода.
Профилактика перекрестного прикуса:
• Регулярное посещение стоматолога;
• Контроль положения тела во сне у ребенка;
• Избавление от вредных привычек (подкладывание руки под щеку);
• Обеспечение свободного носового дыхания (лечение аденоидов в данном случае).
Читайте также






