Лечение на аппарате Твин-блок

3 минуты на чтение
3
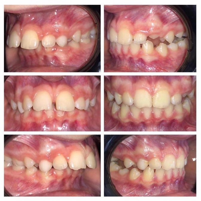
Работа нашего ортодонта Оксаны Журавской.
Умнице-пациентке 10 лет.
Начали ортодонтическое лечение в августе 2018 года, в коллаже динамика за 9 месяцев - результат супер!
✓ Лечение проводим с помощью аппарата твин-блок - это такая парная пластинка (на верхнюю и нижнюю челюсть), которую используют на начальном этапе лечения.
Дальше по необходимости ставят брекеты.
Наиболее эффективен твин-блок в возрасте 9-14 лет (у девочек до 13 лет) в период активного роста челюстей.
Диагноз - дистальная окклюзия (нижняя челюсть задвинута назад) и протрузия резцов на верхней челюсти (торчат вперед, и, таким образом, образуется щель между нижними и верхними резцами).
Причины: доооолгое сосание пустышки - до 4х лет! А дальше присоединилось прикусывание нижней губы, что еще сильнее спровоцировало заднее положение челюсти.
Родители, внимание!
Обращайте внимание на вредные для зубов привычки, чтобы не пришлось потом долго и дорого исправлять
Преимущества твин-блока:
• Возможность постоянного ношения, даже во время еды, т.к. жевательная нагрузка усиливает действие аппарата.
• Быстрая физиологическая и психологическая адаптация пациента засчет сохранения нормальной подвижности щек, губ и языка.
• Более простой переход на несъемную технику.
• Минимальное вмешательство в нормальное функционирование зубочелюстной системы.
Читайте также






