Лечение молочных зубов "во сне".

3 минуты на чтение
2
К сожалению, в этом случае без наркоза не обошлось.
❗Требовалось вылечить от кариеса целых 7 зубов!
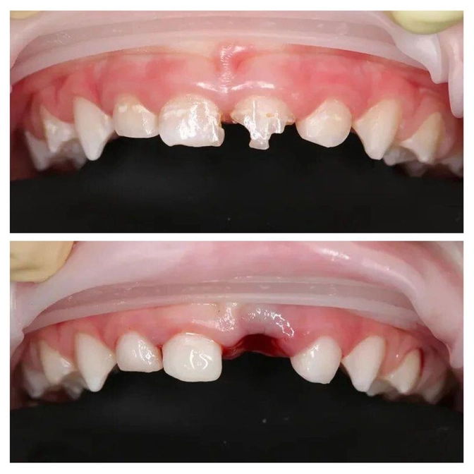
Центральный резец шел под удаление с диагнозом периодонтит.
Воспаление уже вышло за пределы корня молочного зуба и угрожало зачатку постоянного.
Работу проводила детский стоматолог Гуля Билялова.
Потребовалось 2,5 часа (полчаса работал анестезиолог).
Работа сложная, кропотливая, требует максимального усердия и скорости.
Сами посудите, 2 часа без перерыва!
Если сомневаетесь по поводу лечения под наркозом, то можете прийти в #ЦентрСелютиной на консультацию.
Вам в подробностях расскажут об анализах, проведении процедуры и самом наркозе.
Вы получите консультацию анестезиолога-реаниматолога.
И за одно посещение будет сделан огромный объем работы без слез, истерик и уговоров неконтактного ребенка.
Читайте также






