Лечение молочных зубов под наркозом

3 минуты на чтение
3
А точнее, практически отсутствует, потому что девочка вообще не хочет чистить зубы.
Да и в кабинет к стоматологу она заходить не хотела.
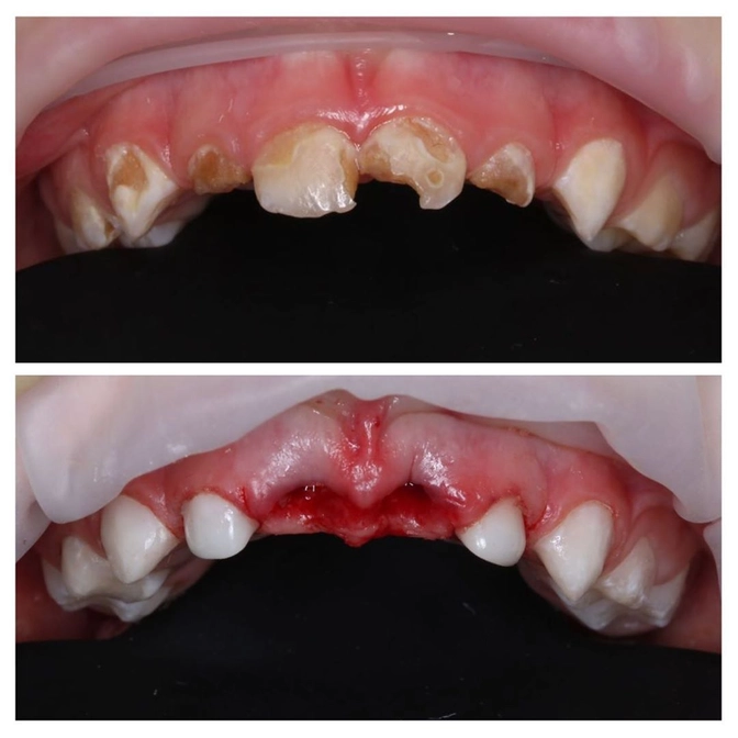
Девочке 4 года.
До этого ей лечили "пятерку" резорцин-формалином.
Помните, я уже говорила, что этот метод давно устарел и опасен?
К слову, семья девочки прошла с ней уже не одну стоматологию за этот год и вот теперь пришли к нам.
Прием вела детский стоматолог Гуля Билялова.
"Пятерку" пришлось удалить.
Вылечено 9 зубов!
Это заняло 3 сложных, долгих, кропотливых часа!
Теперь оставляем пациентку под наблюдение.
Рекомендованы регулярные аппликации реминерализирующими средствами (Tooth Mousse, Rocs Mineral), контроль питания и тщательная домашняя гигиена.
Читайте также






