Лечение молочных зубов под наркозом.

3 минуты на чтение
3
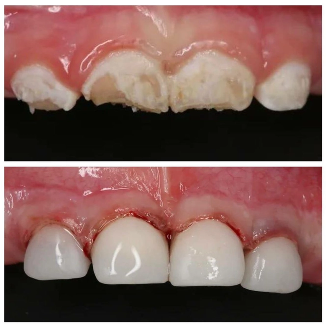
Да вы и сами все видите по фото — весь «фасад» просто в труху начал разваливаться.
Лечить нужно срочно, тянуть нельзя, дожидаться какого-то там возраста или прорезывания всех остальных зубов не стоит!
Так можно запросто с зубами распрощаться, факт!
И таких случаев сто миллионов штук, к сожалению…
Родители забили тревогу, проштудировали мой блог и решили, что пора!
К сожалению, ситуация уже патовая.
Поэтому лечили в условиях наркоза — с таким малышом договориться трудно, а объем работы очень большой, плюс она сама по себе технически сложна.
Работу проводила детский стоматолог Ольга Новикова.
▪️2 часа в наркозе;
▪️4 верхних резца пролечены от пульпита с помощью биосовместимого материала;
▪️Восстановлены пломбировочным материалом.
А теперь читаем внимательно: фактор, который УСУГУБИЛ разрушение зубов - длительные ночные кормления.
Сами понимаете, это не единственная причина:
✔️Кариес — это инфекция, вызываемая бактериями-стрептококками (Streptococcus mutans);
✔️Они питаются углеводами и выделяют кислоту, растворяющую зубную эмаль;
✔️Углеводы содержатся в пище и напитках и при попадании на зубы бактерии начинают их перерабатывать и выделять кислоту;
✔️Таким образом начинается разрушение зуба.
❗Углеводы из грудного молока и детской молочной смеси ничем не отличаются от углеводов из обычной пищи.
Они тоже служат пищей стрептококкам!
Читайте также






