Лечение молочных зубов малыша под наркозом

3 минуты на чтение
3
И в этом заслуга детского стоматолога нашей команды Ольги Новиковой.
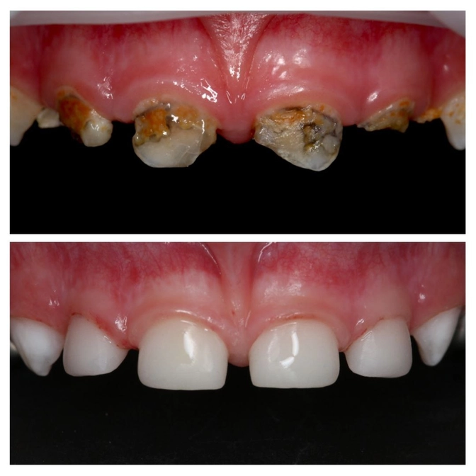
Малышу 1 год 10 месяцев.
Весной он был на приеме в клинике своего города, где врач сказал, что на зубах гипоплазия.
❌Мы с этим диагнозом не согласны, т.к. после сбора анамнеза выяснили, что зубки изначально прорезались здоровыми, а значит это кариес вызвал такое разрушение.
При гипоплазии же зубы СРАЗУ прорезываются с полосками, пятнами, бороздами на эмали.
Чистить зубы малыш не давал, у родителей получалось это с трудом.
Они, конечно, старались, мазали гелем ROCS Minerals, но зубки продолжали «сыпаться».
Тот же самый доктор посоветовал им пропить препараты железа, «чтобы зубки не разрушались».
Это стало причиной появления ржавого налета, который плотно крепится к зубам и счистить его очень сложно.
Сразу хочу обратить ваше внимание, что причина кариеса всегда одна — это органические кислоты, выделяемые бактериями-стрептококками.
Именно под их воздействием эмаль начинает разрушаться.
А вот факторов, которые способствуют размножению и жизнедеятельности этих бактерий, великое множество.
У этого пациента сложились сразу несколько — недостаточная гигиена, ГВ (которое невероятно полезно для младенцев, но также дает пищу бактериям-стрептококкам) и ржавый налет от препаратов железа.
❗️Лечить надо было срочно!
Что сделано?
✔️Вылечено 6 кариесов;
✔️2 зуба пролечены от пульпита;
✔️Сделано 4 реставрации;
✔️На двух «четверках» установлены металлические коронки.
✔️Проведена профессиональная гигиена;
✔️Родители получили рекомендации по уходу за полостью рта.
И всё это в наркозе, естественно.
Тут без него не обошлось бы никак.
Ребенок совсем маленький, а работа срочная и объем приличный.
Читайте также






