Лечение контактного кариеса центральных зубов

3 минуты на чтение
3
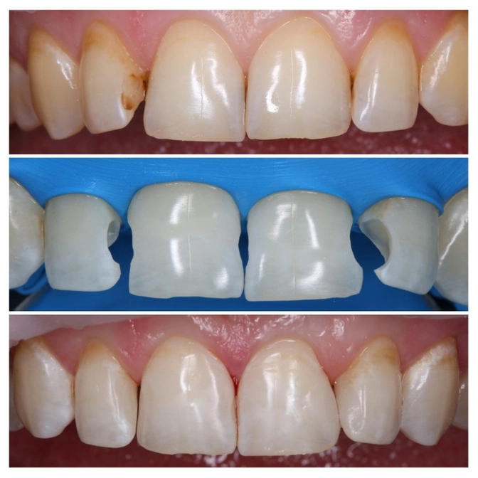
Это уже кариес!
Главное не проморгать его, чтобы разрушение не ушло вглубь и не поразило "нерв".
Работа нашего стоматолога-терапевта Галины Базылевой.
Пораженные ткани нужно убирать так, чтобы не захватить ни одного миллиметра здоровых.
Это важно!
Кариес любит такие скрытые места, как например место контакта между двумя соседними зубами.
Там легко застревают остатки пищи и мягкий налет.
Щеткой туда не добраться, а зубной нитью и ирригатором пользуются не все.
При этом контактный кариес может никак себя не проявлять и даже быть не заметным глазу.
Видим, что у этого пациента кариес появился на контактах между резцами.
На этом этапе он не вызывает дискомфорта, но оставлять на самотек нельзя!
✔️Пораженные ткани убрали;
✔️Полости обработали;
✔️Зубы восстановили пломбировочным материалом.
Взрослым пациентам рекомендую посещать стоматолога 1 раз в полгода.
Особенно если вам кажется, что зубы не повреждены, но вы ощущаете боль или дискомфорт.
Возможно, заболевание находится на начальном этапе.
В этом случае его намного легче вылечить.
Читайте также






