Лечение кариеса у трехлетки без наркоза

3 минуты на чтение
3
Ему всего 3 года, и в #ЦентрСелютиной состоялось его первое знакомство со стоматологом.
Надо ли говорить, что всё прошло на ура?
Прием вела детский стоматолог Ольга Новикова.
Начала, как всегда, с адаптации, познакомилась и подружилась с ребенком, мягко погрузила его в процесс.
Малыш прекрасно сотрудничал, не боялся и не плакал.
• Начали с профессиональной гигиены
• потом загерметизировали фиссуры;
• Вылечили кариесы на жевательных зубах.
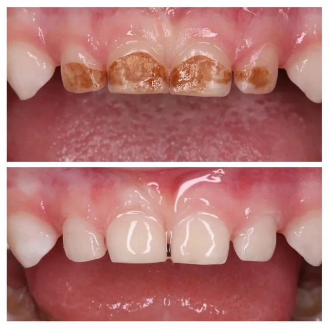
Начался процесс разрушения центральных зубов — поверхностный кариес, — и усугубился он после приема препаратов железа, т.к. прицепился трудно счищаемый пигментированный налет.
К слову, в садике ребенка обижали из-за цвета зубов.
Родители, задумайтесь об уходе за детскими зубками и лечении.
Я думаю, вам бы вряд-ли хотелось, чтобы вашего ребенка дразнили.
Это огромный стресс, комплексы и нежелание идти в сад или играть на площадку.
Ребенок отлично шел на контакт, поэтому зубки решили лечить в сознании.
✔️Налет счистили;
✔️Пораженные ткани убрали;
✔️Отреставрировали резцы;
✔️Зашлифовали и отполировали вкусной пастой.
Читайте также






