Лечение кариеса у ребёнка

3 минуты на чтение
3
Ей-богу, как название блокбастера, а стоматологи в нем супергерои, которые спасают зубы от разрушения.
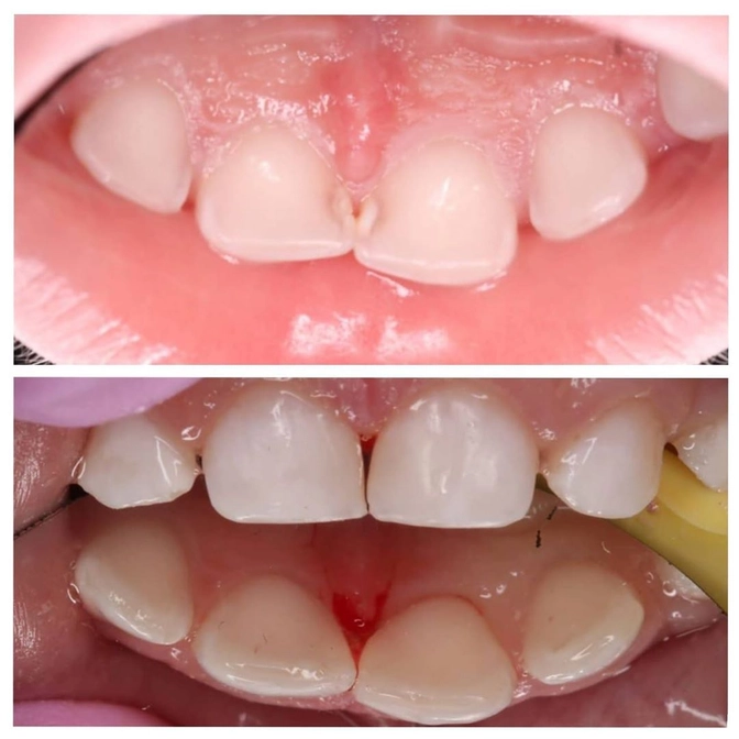
Работа детского стоматолога Марии Штельмах.
Именно она спасла зубки этого малыша.
Ему всего 3 года.
Работа с такими малютками требует предельной мягкости, сосредоточенности и внимания.
А от пациента нужна усидчивость и доверие доктору.
Кариес на незрелых детских зубках часто возникает с внутренней стороны.
А в этом случае он поразил сразу оба центральных резца в месте их контакта.
✔Сделана анестезия;
✔Пораженные кариесом ткани убраны;
✔Зубки отреставрированы пломбировочным материалом.
Звучит и читается так легко - раз-два и готово
На деле - колоссальный труд - и руками, и головой, и эмоциями, и фантазиями (нужно ж ещё придумывать темы для разговора с трехлеткой во время сосредоточенной работы в маленьком ротике)
Доктор Штельмах - ТАЛАНТИЩЕ!
Ждем нашего героя снова на регулярные профосмотры.
Читайте также






