Лечение кариеса у малыша без наркоза

3 минуты на чтение
3
Удивлены?
Ловкость рук и никакого мошенничества)
А ещё годы тренировок, бесстрашие перед маленькими ртами (да, именно бесстрашие)
В курсе, что многие стоматологи (даже Детские) реально БОЯТСЯ ДЕТЕЙ?
А дети это чувствуют, представляете!
Ну и сердце…
Непременно большое и доброе.
И в этом детей не проведёшь.
Мои детские доктора именно такие.
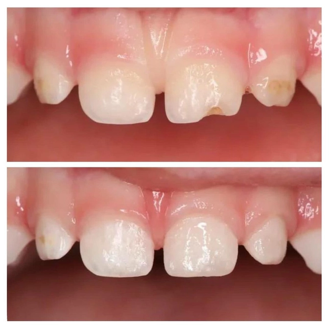
Вот Ольга Новикова.
Ее работа на фото.
Основное ее достоинство (помимо грамотности и правильности исполнения): пролечено все в сознании.
Без наркоза и без седации.
А малышу 2 года!!!
Центральный и боковой резец поражены кариесом.
Ждать нельзя, фторировать поздно — разрушение будет продолжаться, если оставить всё как есть.
Доктор Новикова, как всегда, начала с адаптации: познакомилась и подружилась с ребенком, мягко погрузила его в процесс.
• Пораженные ткани убрали;
• Полости обработали;
• Зубки восстановили пломбировочным материалом;
• Зашлифовали и отполировали.
К слову, пациенты приехали к нам на лечение из города Новый Уренгой.
Для удобства иногородних и иностранных пациентов давно есть услуга онлайн-консультации.
Можно познакомиться с врачом, задать вопросы и даже составить примерный порядок действий.
Очень удобно, если время пребывания в Москве будет ограничено.
Можно заранее все спланировать.
Если вдруг вам актуально, на сайте есть подробности.
Читайте также






