Лечение кариеса у малыша без наркоза

3 минуты на чтение
3
На контакт идет плохо.
В первое посещение даже не хотела заходить в кабинет и сильно плакала.
Но наш детский стоматолог Гуля Билялова знает, как найти подход даже к самым несговорчивым.
Ей удалось провести девочке фторирование - это уже успех.
Через некоторое время они пришли на профосмотр.
Зубки портились, а мама очень переживала и не хотела лечить под наркозом.
✔Но у доктора Биляловой снова получилось уговорить девочку на лечение.
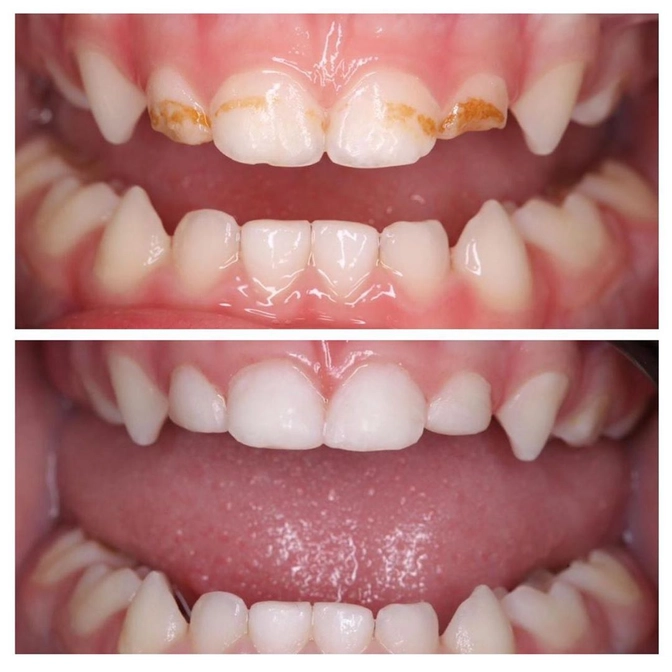
Были пролечены "четверки";
Потребовалась анестезия, т.к. кариес был средний.
Далее уже было проще.
✔В следующие два посещения были сделаны боковые резцы.
✔И потом в один заход - оба центральных.
Все лечение проводилось с анестезией!
Кариес уже ушел достаточно глубоко.
И обошлось без седации и наркоза!
Мама, конечно, рада и счастлива.
Теперь ждем их на профосмотры.
Помните, что врачи в #ЦентрСелютиной стараются делать всё возможное, чтобы найти подход даже к самым неконтактным детям.
Читайте также






