Лечение кариеса под наркозом

3 минуты на чтение
3
Кто виноват и что делать?
Ситуация такая:
Девочке 1 (ОДИН!) год
Это я к тому, что «кариесу все возрасты покорны», к СОЖАЛЕНИЮ.
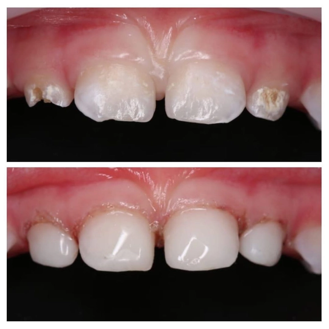
Да, это кариес.
Ещё его называют кариес раннего детского возраста.
Его отличительная особенность - он беспощаден и агрессивен.
Зубы буквально тают на глазах.
И промедление с лечением и налаживанием домашнего ухода совместно с режимом питания для зубов бывает фатальным, в буквальном смысле этого слова.
Девочка на ГВ.
И мифы о том, что ГВ - манна небесная и остатками грудного молока кариесогенные микробы не питаются можете не цитировать.
Результаты я и мои коллеги видим каждый божий день.
Мы сражаемся с последствиями
Родители делают ПРАВИЛЬНЫЕ выводы
На следующих фото увидите всё те же зубы, только изнутри.
Прием вела детский стоматолог Мария Штельмах.
План составляли на лечение пульпита четырех верхних резцов.
Кариозные полости действительно были огромные, но все обошлось глубоким кариесом.
Пульпа (нерв зуба) не задета.
Напоминаю, в молочных зубах есть нервы (пульпа), и в том случае, если разрушение зуба очень серьёзное и контактирует с пульпой, нерв приходится убирать. Даже в молочных зубах!
Зубки вылечены и отреставрированы пломбировочным материалом.
Вся работа была проделана в условиях глубокой седации, т.к. объем работы большой, пациентка совсем маленькая, а помощь требовалась срочная.
Читайте также






