Лечение большого объема в условиях наркоза

3 минуты на чтение
3
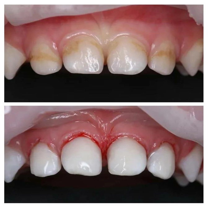
Разрушение начинается на внутренней стороне и в пришеечной зоне на внешней стороне верхних передних зубов.
Плюс поражены все "четверки".
А ведь малышу всего 1 год!
Поражение зубов обширное, а ребенок совсем маленький.
Ждать, естественно, нет смысла, и реминерализирующая терапия тут уже не поможет.
✔️Выход — лечить в условиях наркоза.
Работу проводила детский стоматолог Ольга Новикова.
✔️Верхние резцы пролечены от пульпита:
- заложен биосовместимый материал, чтобы сохранить жизнеспособность корневой пульпы;
- зубки отреставрированы.
✔️"Четверки" пролечены от кариеса;
✔️Сделана профессиональная гигиена.
Если у вас есть сомнения по поводу лечения под наркозом, вы можете прийти к врачу на консультацию.
Для иногородних и иностранных пациентов есть опция "Онлайн-консультация".
Все подробности вы можете узнать на нашем сайте, ссылка: http://webinar.selyutina.ru/parents#buy .
Врач расскажет всё об анализах, проведении процедуры, о самом наркозе, вы получите консультацию анестезиолога-реаниматолога.
Процедура не новая и уже отлично изучена.
За одно посещение можно сделать огромный объем работы и избежать слез, истерик и уговоров неконтактного ребенка, и, конечно, спасти зубки от разрушения.
Читайте также






