Лечение большого количества зубов под наркозом

3 минуты на чтение
3
В моем блоге их уже не пересчитать!
Зубки молочные.
Тают просто как масло на жаре.
А двухлетний малыш не подпускает родителей с зубной щеткой в руках.
Семья живет на Сахалине.
Далеко, но как есть..
Помеха ли расстояние для лечения?
Думаю, даже те, кто так считали ранее, пересмотрят свои взгляды.
Вернемся к тому, что сделано.
Прием вела детский стоматолог Мария Штельмах.
Лечили в наркозе, тут без вариантов.
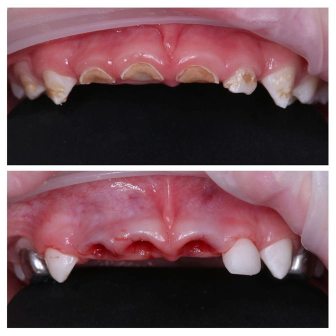
✔️3 зуба удалено, т.к. воспалительный процесс уже поразил корни.
В одном из зубов даже была видна капля гнойного отделяемого.
Если не увидели, вернитесь к фото и просмотрите до последней
✔️Один верхний резец удалось спасти;
✔️3 жевательных зуба вылечены от кариеса;
✔️Один — от пульпита;
✔️Установлено 3 металлические коронки;
✔️4 зуба загерметизированы.
Работа заняла 3 часа!
Для лечения в наркозе необходимо сдать ряд анализов и пройти обследования.
Но у иногородних и иностранных пациентов зачатстую нет времени ждать результатов и приходить на несколько приемов в наш Центр.
Процедура подготовки может растянуться на месяц.
✔️Поэтому мы предлагаем услугу онлайн-консультации.
Ее проводят все наши детские стоматологи.
На нашем сайте есть раздел «Онлайн-консультация».
Там вы можете узнать стоимость, информацию по оплате и как вообще все проходит.
Если кратко, то все решается в ватсапе или телеграме.
Все обследования вы можете пройти у себя по месту жительства, а результаты прислать нам.
Далее составляется ПРИМЕРНЫЙ план лечения, он утверждается родителями и назначаем дату лечения.
За всеми подробностями обращайтесь к нашим администраторам в ватса: +7-926-538-48-84.
Читайте также






