Лечение 2-детки под наркозом

3 минуты на чтение
3
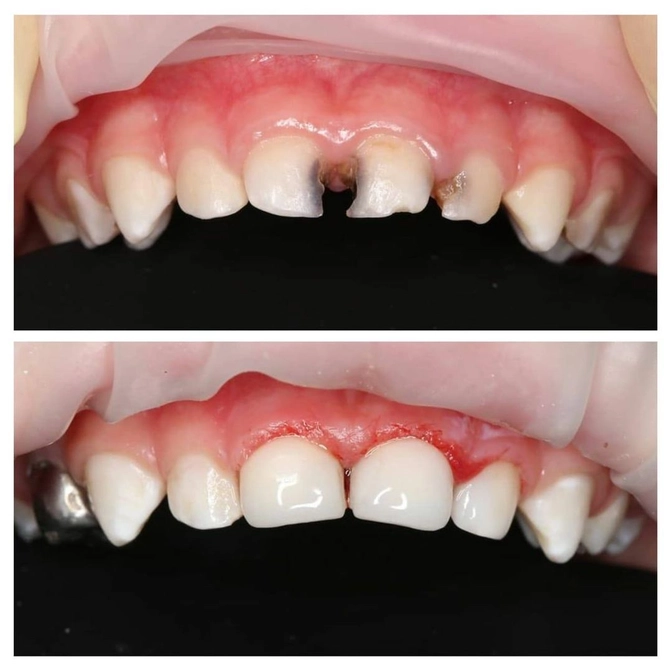
Не надо быть стоматологом, чтобы понять, что с зубами явно что-то не так.
И «что-то не так» прогрессирует и разрушает зубы.
Да, молочные.
Но они ещё столько времени должны служить до смены.
Плюс риск боли и преждевременного удаления в случае бездействия.
Плюс эстетика в конце концов.
Пришли на приём.
Доктор Штельмах Мария.
И я и мои доктора, если это возможно, прилагаем максимум усилий для того, чтобы лечение ребёнка проходило в сознании (без наркоза)
И таких пациентов - большинство.
Постоянно результаты подобных работ демонстрирую для наглядности.
Но все сошлось, что без наркоза никак.
Получилось провести гигиену и сделать снимки зубов.
А лечения, причём сложного и в большом объёме, ребёнку продолжало требоваться.
Провела его доктор Штельмах за один прием в условиях наркоза.
✔️На контактных поверхностях почти всех жевательных зубов были скрытые кариесы;
✔️Передние зубки в плачевном состоянии;
✔️Осложненные кариесы и большие разрушения "четверок".
✔️ работа длилась 4 часа.
✔️Вылечено 13 зубов.
По окончании всех манипуляций пациент с родителям находится у нас в Центре еще 30–40 минут, чтобы врач мог проконтролировать состояние ребенка после наркоза.
Затем отпускаем их домой, но остаемся на связи по телефону.
Даем рекомендации по уходу за зубками и ждем на профилактические осмотры каждые 3 месяца.
Первый профосмотр наш маленький пациент уже прошёл - все зубки в порядке.
Берегите зубки!
Читайте также






