Лечение 16 зубов за одно посещение!

3 минуты на чтение
3
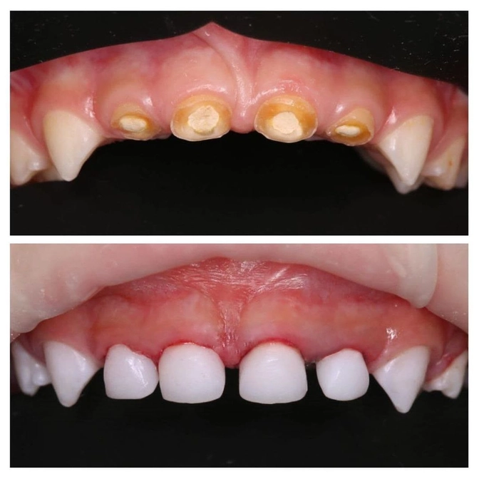
Наглядный пример — наш маленький пациент.
Ему всего 2,5 года, а от четырех верхних резцов практически ничего не осталось.
Всё «съел» кариес!
Кроме резцов пострадали практически все остальные зубы.
К сожалению, у кариеса нет приоритетов — где условия позволяют, там и появляется.
Малыша лечили под наркозом.
А теперь внимание, сколько зубов было поражено?
ШЕСТНАДЦАТЬ!
16 зубов вылечила за 4 часа наш детский стоматолог Мария Штельмах!
Это невероятно сложная, кропотливая и точная работа!
Требуется колоссальная усидчивость, внимательность и максимальная концентрация не только врачу, но и всей команде помогающих специалистов.
• Сделано 8 реставрации;
• Вылечен 1 пульпит и 4 кариеса;
• Загерметизированы 3 зуба.
Не устану восхищаться врачами в #ЦентрСелютиной!
Ну герои ведь, правда?
Читайте также






