Коронки на молочные зубы.

3 минуты на чтение
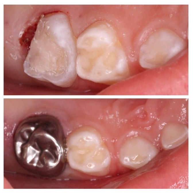
3
На фото как раз одна из таких.
Теперь она защищает молочную "пятерку" до ее естественной смены (примерно в 12 лет).
Ребенку 5 лет.
Работу блестяще выполнила наш нежный доктор Гуля Билялова.
• Пролечила пульпит;
• Много тканей в ходе обработки пришлось убрать - зуб сильно прогнил и разрушился.
• Поэтому, чтобы сохранить пломбу на месте, было принято решение ставить коронку.
У этого пациента стоит металлическая.
✔Она стандартного размера и надевается на зуб, как колпачок.
✔Затем подгоняется под индивидуальные параметры зуба.
✔Отмеряется расстояние до десны, и коронка обрезается по кругу.
✔Меряется и, если подходит, то фиксируется на цемент.
Коронка полностью и герметично закрывает весь зуб, не позволяя ему разрушаться дальше.
А также предохраняет от выпадения пломбы.
Под нее не будет ничего попадать.
Не возникнет вторичный кариес или периодонтит.
Коронки никак не влияют на естественную смену зубов.
Читайте также






