Коронки и их виды.

3 минуты на чтение
3
Одна из грамотных альтернатив анкерному штифту.
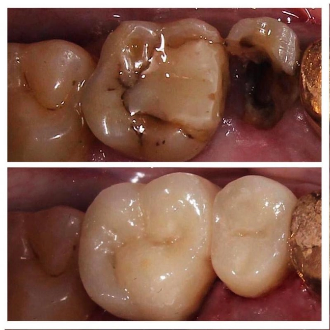
• Пациенту восстановили культевую часть зуба с помощью стекловолоконного штифта и композита с керамическим наполнителем.
• Отпрепаривали (обточили) зуб под цельнокерамическую коронку.
Сняли слепки для изготовления коронок в лаборатории.
• Сняли слепки с верхней и нижней челюсти с помощью силиконового регистрата окклюзионного взаимоотношения (смыкания челюстей).
• Изготовили и зафиксировали временные коронки из композита на время изготовления постоянных реставраций.
• Через 10 дней зафиксировали постоянные реставрации -"короновали" 2 зуба цельнокерамическими одиночными коронками из материала e.max.
Потребовалось всего 2 посещения!
И немного информации про коронки - для чего они нужны?
1. Для восстановления твёрдых тканей зуба, надеваются, как колпачок на зуб.
2. При значительном разрушении зуба коронки восстанавливают потерянный объём тканей, функцию зуба и внешнюю эстетику.
Коронки бывают:
- металлические (штампованно-паянные, цельнолитые);
- металлопластмассовые,
- пластмассовые,
- металлокерамические,
- цельнокерамические (с основой из дисиликата лития или циркония).
Все эти виды различаются прочностью, эстетикой, объемом вмешательства и способом фиксации.
Выбирайте те, с которыми умеет работать ваш лечащий врач!
• На передние зубы мы рекомендуем безметалловые реставрации (засчёт эстетических характеристик).
• Для боковых - либо безметалловая керамика, либо металлокерамика.
! «Золотым стандартом», конечно, является e.max (цельнокерамическая коронка с дисиликатом лития).
Читайте также






