Композитные реставрации и керамические виниры: преимущества и недостатки

3 минуты на чтение
3
Рассказываю на клиническом случае стоматолога-ортопеда нашей команды Никиты Кумехова.
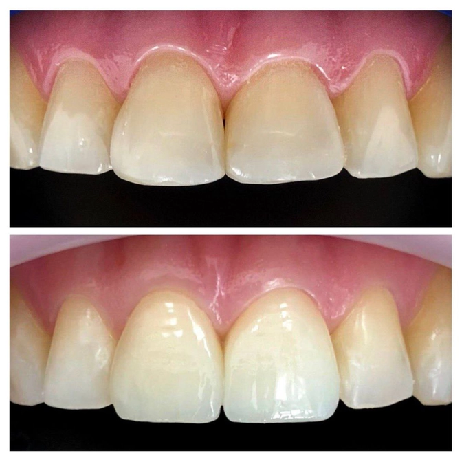
Пациентка обратилась с жалобой на эстетику верхних центральных резцов.
Они имели разную форму из-за того, что реставрации были сделаны из композита.
Причем делались они неоднократно, т.к. срок службы композитных реставраций такого типа 3–5 лет при должном уходе.
Что сделал доктор Кумехов?
✔️Убрал старый композит;
✔️Сформировал границу в виде уступа по периметру каждого зуба;
✔️Снял оттиск;
✔️По нему изготовили керамические коронки;
В следующий визит зафиксировали их в полости рта.
Разница До и После очевидна!
Теперь оба зуба одинаковой формы, не видно перехода между реставрацией и родными тканями, идеально совпадают по цвету с анатомией улыбки в целом.
Нужно быть настоящим профессионалом, чтобы так естественно вписать одну-две реставрации в зону улыбки, чтобы они выглядели незаметно на фоне родных зубов.
Горжусь, что в моей команде есть такие врачи!
Композитные реставрации проще и доступнее по цене, их можно сделать при первом же визите.
Но служат они существенно меньше, чем керамика.
Плюс эстетические показатели не на высоте.
А вот с помощью керамических реставраций можно добиться максимально естественной улыбки.
Да, они дороже, но зато срок их службы достигает 10–20 лет.
А также они не темнеют и не окрашиваются от пищи, как композитные.
Читайте также






