Когда нужен гнатолог?

3 минуты на чтение
3
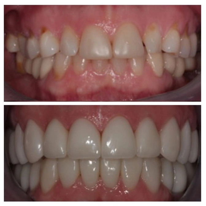
Полюбуйтесь на очередную блестящую работу ортопеда гнатолога нашей команды Дениса Фоменко.
Что имеем в начале?
• Щелкает челюсть;
• Отсутствие некоторых жевательных зубов;
• Скрежетание зубами (бруксизм).
Помните, да, что бывает при длительном отсутствии зубов?
Соседние зубы смещаются в сторону удаленных, зубной ряд разъезжается, и образуются промежутки - тремы, диастемы.
Как следствие, возникает повышенная нагрузка на зубочелюстной аппарат, что приводит к дисфункции височно-нижнечелюстного сустава.
В нашем случае это щелкающая челюсть.
Далее идет неравномерная истираемость зубов, появляются дефекты эмали в пришеечной области зуба, разрушаются терапевтические и ортопедические конструкции из-за перегрузки и дисфункции сустава.
В месте удаленного зуба возникает атрофия костной ткани, а на соседних зубах на деснах наблюдаются рецессии.
К сожалению, практически всё из этого довелось узнать нашей пациентке.
Но доктор Фоменко знает, как решаются такие проблемы:
✔Проведена имплантация отсутствующих зубов;
✔Восстановлена высота прикуса;
✔Проведено рациональное протезирование - установлены коронки и виниры;
✔Восстановлена жевательная функция;
И улыбка теперь просто Голливуд!
Читайте также






