Клинический случай: замена мостовидного протеза.

3 минуты на чтение
3
В центре внимания доктор Фоменко и пациент, получивший шикарный результат на выходе.
Пациенту 50 лет.
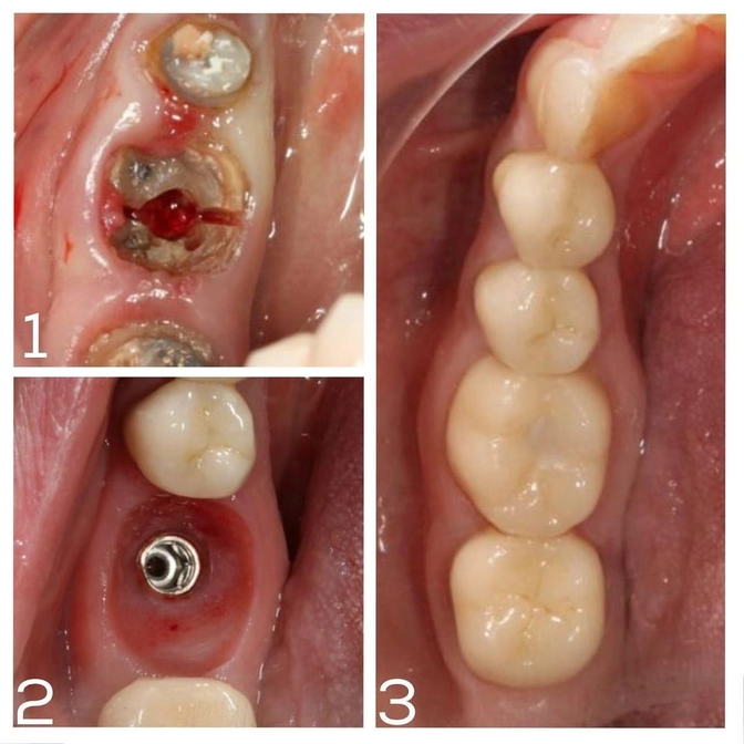
✔Дано: 3 «слитные» коронки по типу мостовидного протеза, когда задействованы 3 рядом стоящих зуба.
Цель: замена, тк протез пришел в негодность.
Когда его сняли, обнаружилось, что один из зубов подлежит удалению ("шестерка").
Видите, как выглядели зубы под протезом?
✔Зуб удалён
✔Вместо удаленной "шестерки" был установлен имплант - титановый аналог корня.
Через несколько месяцев, когда он прижился, был установлен формирователь десны.
Параллельно установлены коронки на зубы, ограничивающие дефект (пятый и седьмой).
Последнее фото - установлены все коронки, средняя с опорой на имплант.
Все промежуточные этапы пациент был с зубами - временные конструкции, это важно!
Если есть показания, не нужно бояться установки имплантов.
Соседние зубы будут смещаться и заполнять пустоту.
А когда вы все-таки созреете на восстановление отсутствующего зуба, придется высвобождать для него место путем ортодонтического лечения на брекет-системе.
• Это время.
• Это финансовые затраты.
• Это неоднократные визиты к ортодонту и ортопеду.
Процесс затягивается, цена растёт, так зачем же ждать?
При длительном отсутствии даже одного зуба, остальные зубы смещаются в сторону дефекта.
Плюс нагрузка на оставшиеся зубы в разы увеличивается => риск узнать на деле, что такое дисфункция височно-нижнечелюстного сустава.
При удалении или утере зубов задумайтесь об имплантации, чтобы избежать проблем со здоровьем в будущем.
Читайте также






