Клинический случай: тотальная стоматологическая реабилитация.

3 минуты на чтение
3
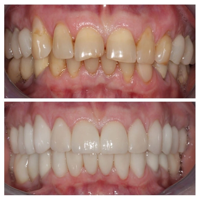
Пациенту 60 лет.
Видите, как с возрастом зубы стираются и теряют высоту?
Все это влияет на суставы челюсти, качество пережевывания пищи, эстетику улыбки и всего овала лица.
• Помимо этого были жалобы на щелкающую челюсть - это грозит проблемами с височно-нижнечелюстным суставом (ВНЧС).
• На жевательных зубах стояли старые коронки с плохой анатомией - это значит их форма доставляла дискомфорт при жевании и не только.
Что было сделано?
✔Доктор Фоменко провел диагностику с помощью кондилографии, телерентгенограммы (ТРГ) и моделей в артикуляторе.
✔Далее был изготовлен сплинт - специальная шина для улучшения положения челюсти и поднятия высоты прикуса.
✔Сделаны временные реставрации;
✔Итог: зубы восстановлены - коронки и виниры в количестве 28 штук.
Работа проделана сложная и кропотливая.
Как результат, челюсть больше не щелкает, а улыбка стала просто загляденье.
В любом возрасте МОЖНО и НУЖНО следить за здоровьем зубов и эстетикой улыбки.
Читайте также






