Клинический случай: результат лечения на брекет-системе

3 минуты на чтение
2
Но он есть!
Просто "спрятался" за остальными и прорезался с нёбной стороны.
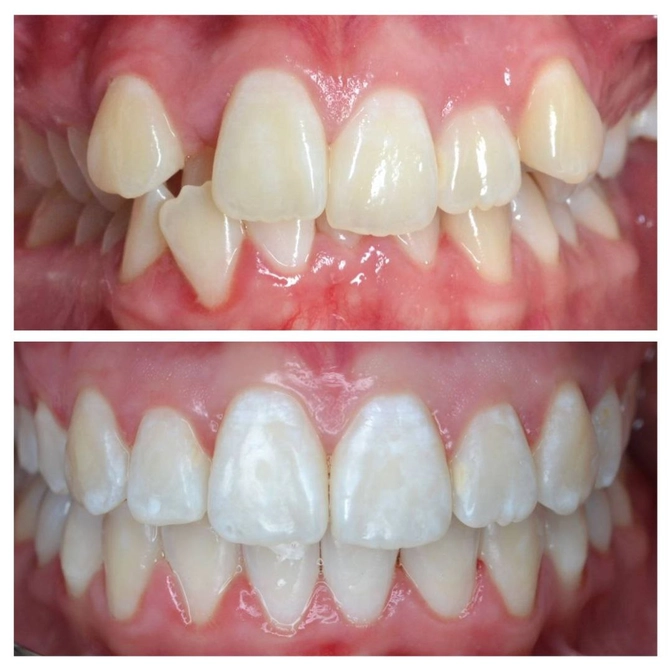
Девушка пришла в январе 2020 года с жалобами на неровные зубы.
Что имеем фактически?
• Скученность зубов на обеих челюстях.
• Один боковой резец с нёбной стороны, другой, наоборот, с вестибулярной (внешней).
• Клык тоже не в ряду.
• Плюс имеется сужение челюстей — из-за этого и возникла скученность.
• Прикус глубокий — верхние зубы перекрывают нижние более, чем на 1/3.
Бывают даже случаи полного перекрытия.
Возможные причины формирования глубокого прикуса:
• Генетика;
• Преобладание в рационе ребенка мягкой (блендированной пищи).
Поэтому детям полезно грызть твердые яблоки, груши, морковку — это дает нагрузку челюстям и они растут.
На заметку родителям!
✔️Лечение проводили на металлической брекет-системе Damon Q.
✔️Плюс требовалась установка подскуловых мини-винтов.
Это дополнительные точки опоры для эффективного и прогнозируемого перемещения зубов.
Они не вживляются в кость и после ортолечения удаляются.
Результат за 2 года ношения брекетов отличный✔️
Зубы встали ровно, пациентка довольна.
Ну а ортодонту браво за крутую работу.
Читайте также






