Клинический случай: лечение зубов у 3-летнего ребенка без наркоза.

3 минуты на чтение
3
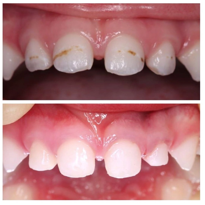
Разрушение передних зубов началось с внутренней стороны.
Доктор Мария Штельмах решила начать с глубокого фторирования.
✔️Это профилактическое мероприятие, в помощью которого эмаль зубов насыщается соединениями кальция и фтора и, тем самым, становится прочнее, достраивается.
Это очень эффективно помогает предотвратить развитие кариеса на детских зубах.
Процедура проводится ТОЛЬКО по показаниям и ТОЛЬКО врачом в кабинете.
Через 3 месяца положительного результата не было.
Разрушение зубов продолжилось.
Поэтому, нужно было начинать лечение.
Пациентка маленькая (3 года), в кресле может сидеть от силы 5 минут.
Родители были категорически против лечения в условиях медикаментозного сна (наркоз) и решили пойти более сложным и долгим путём.
Это всегда нелегко: и ребёнку, и родителям, и врачу с остальными сотрудниками центра.
Но это реально.
Не всегда (подчеркиваю!), но возможно.
Сквозь слёзы, сопли, уговоры, споры, «не хочу».
Далеко не каждый врач на это пойдёт.
Последнее время часто задумываюсь над этим.
И знаете, к какому выводу пришла?
• Мало владеть владеть современными техниками лечения
• Мало правильно и четко доносить информацию до ребёнка и его родителей
• Мало иметь золотые руки
• Мало любить работать с детьми
• Мало купить детскую атрибутику и подарки
✔️Мой секрет: «Я НЕ БОЮСЬ ДЕТЕЙ!»
Скажете, странно?
А вот и нет.
Я вас уверяю, огромное количество детских специалистов просто БОЯТСЯ ДЕТЕЙ.
• Боятся, что они заплачут
• боятся сделать им заведомо неприятные процедуры
• боятся паники родителей.
• Боятся осмотреть кричащего годовалого-двухгодовалого малыша:
«как вы себе это представляете, это же стресс для ребёнка, будет травма, давайте в наркоз, иначе никак..»
А я не боюсь.
Прошла этот этап.
Давно
И докторов своих учу этому.
И, мне кажется, у нас неплохо так получается.
И самое главное, это чувствуется, витает в воздухе.
Дай Бог нам терпения и пореже выгорать на работе, что тоже случается.
Читайте также






