Клинический случай: кариес центральных зубов.

3 минуты на чтение
3
Если, конечно, мер не принять.
ЭТО требует реставрации (проще - пломбы нужно ставить)
Что, собственно, и сделали.
Неплохо, по-моему.
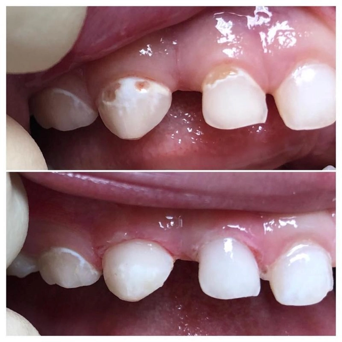
Мальчику 5.
Делали анестезию (да, это укол!)
Но ребёнок мужественно все перенес.
Надеюсь, губу не накусал после анестезии.
На самый левый (он же четвёртый, он же жевательный) зуб посмотрите.
Белую полоску видите?
Тоже кариес.
Кариес в стадии пятна.
Обнаружили после проведения профессиональной гигиены.
Ранее мама и не догадывалась, что самостоятельность пятилетки это не всегда хорошо.
Во всяком случае, в вопросе здоровья зубов.
Читайте также






