Хирургические этапы перед протезированием

3 минуты на чтение
3
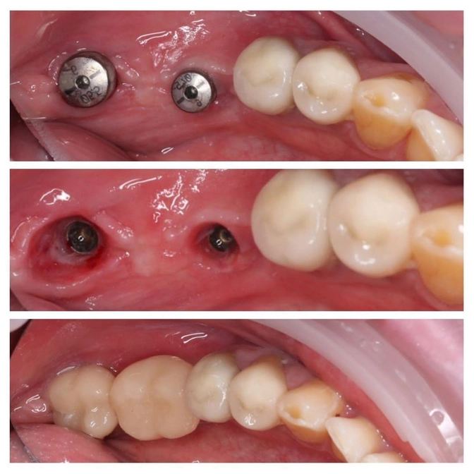
Работа нашего хирурга-имплантолога-парадонтолога Алины Ситдиковой .
Взамен утраченных "шестерки" и "семерки" были установлены импланты - верхнее фото.
✔Имплант - это титановый аналог корня, который вкручивается в кость.
На среднем фото вы можете увидеть формирователи десны.
Для чего они нужны?
• Формирователь десны представляет собой винт, который вкручивается в имплантированную основу.
• Сверху у него колпачок с диаметром, равным основанию будущего зуба.
• Он необходим, чтобы после вживления импланта мягкие ткани (десны) обрастали в соответствии с формой будущей коронки.
Нижнее фото - временные коронки.
Теперь остается только ждать, т.к. сейчас идет работа на верхней челюсти.
Когда придет время протезирования, будем делать одновременно обе челюсти, чтобы правильно установить высоту прикуса.
Читайте также






