Керамическая вкладка - альтернатива пломбы.

3 минуты на чтение
3
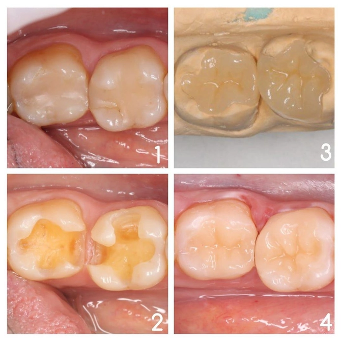
Дано: старые просевшие пломбы, требующие замены
Цель: идеальный результат во рту.
Решение:
✔️доктор Олеся Ибрагимова под местной анестезией убрала старые пломбы
✔️Убрала вторичный кариес
✔️Предложила пациенту рассмотреть альтернативу пломбам больших размеров - установка индивидуально изготавливаемых керамических вкладок.
✔️Керамическая вкладка — это отличная альтернатива пломбе больших размеров.
Она изготавливается из материала E-Max (о нем я писала ранее в постах про виниры).
Керамическая вкладка изготавливается в технической лаборатории.
1. После должной обработки с зубов пациента снимаются слепки;
2. Они отправляются в лабораторию к технику;
3. Далее отливаются модели;
4. На них моделируется вкладка;
5. Из лаборатории готовая работа возвращается к доктору.
6. После ее оценки вне полости рта, доктор примеряет ее пациенту;
7. После проверки вкладка фиксируется в полости рта.
Вкладки полностью восстанавливают функцию зуба и эстетику.
Вкладки крепче пломб, если можно так выразиться.
E-Max не отличить от родных тканей!
И зубы при этом остались "живыми"
В данном случае за два визита готово на мой взгляд 2 шикарных зуба.
Очень люблю эстетику и функцию в «одном флаконе»
Читайте также






