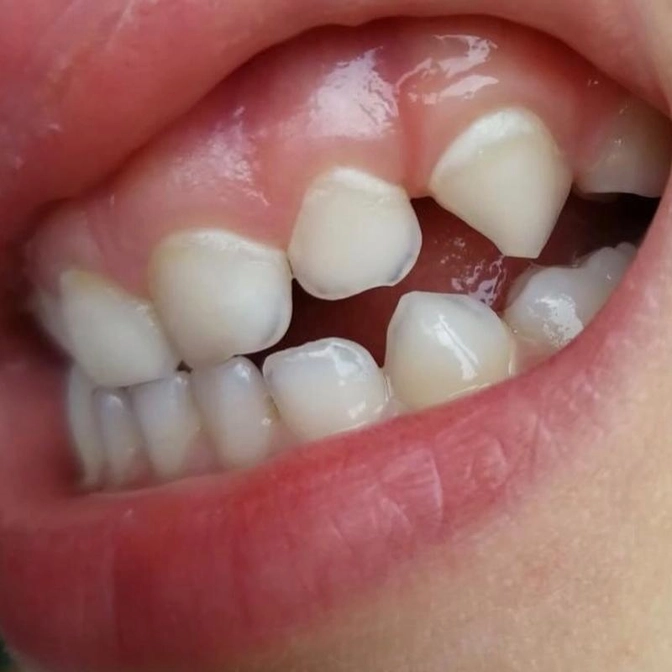
Кариес в стадии пятна.

3 минуты на чтение
2
Опять зуууубы.
Ребёнку 4.
И маме не дают покоя эти безобидные полосочки у десны.
Обошли нескольких врачей.
Говорят: «не кариес.»
А что тогда?
Объяснить никто не смог.
И что делать, тоже.
Я удивлена, потому что для меня ответ очевиден.
Кариес!
Сто миллионов процентов!
Бойтесь их, этих коварных еле заметных полосочек у десны.
Самый начальный, но небезопасный кариес в стадии пятна.
Главная особенность для более точной диагностики: ранее ничего на зубах не было, позже стало появляться.
Теоретически конкретно эта стадия кариеса обратима.
Что делать для предотвращения и лечения кариеса в стадии пятна?
1. Чистка зубов ребенка с момента появления первого зуба.
Для чистки следует использовать детскую щетку и пасту, содержащую фтор.
Количество фтора в детской зубной пасте должно быть подобрано детским стоматологом индивидуально.
Факт проглатывания зубной пасты малышом вас смущать не должен.
В этом нет ничего страшного, если вы используете фторсодержащую зубную пасту не чаще двух раз в день в количестве, равном величине маленькой горошины.
Чистить ребенку зубы нужно регулярно - утром и вечером.
И делать это должны родители малыша, а не ребенок.
2. Регулярное использование реминерализирующих средств.
Их названия: ROCS minerals или Tooth Mousse.
Эти средства следует наносить на зубки ребенка дважды в день после чистки.
Далее в течение часа стоит воздержаться от приема пищи и питья.
Перерывов в использовании можно не делать.
3. Применение специальных салфеток для чистки зубов с содержанием ксилита в местах и ситуациях, где использование зубной щетки не представляется возможным.
Например, после перекусов во время прогулки, после ночного кормления.
4. Регулярное проведение профессиональной гигиены полости рта (чистка зубов у стоматолога) с последующей аппликацией фторсодержащими лаками.
Процедура проводится в кабинете стоматолога раз в 3-6 месяцев с целью ПРОФИЛАКТИКИ возникновения кариеса.
5. Проведение курсов процедур глубокого фторирования.
Читайте также






