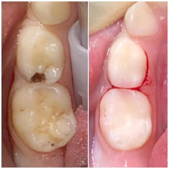
Кариес на "контактной поверхности".

3 минуты на чтение
3
Но встречаются часто.
Только сегодня троих ребят с такими полечили.
Полости между зубами.
На стоматологическом языке - «на контактной поверхности».
Ох и сложно порой донести до родителей, что «там прям надо лечить!»
Помню была молодым специалистом, доказывала.
Иногда получалось, иногда «ага-ага».
И снимок сделаешь, и фото, и все покажешь.
Но все равно недоверие в глазах родителей читалось.
«Ведь «дырки»-то нет, наверняка разводят!»
Стоматологи поймут.
А она есть, причём в данном случае на обоих зубах.
На одном побольше (ее как раз видно), на другом поменьше.
Из того, что с «дыркой» побольше пришлось удалить «нерв».
Глубоко был зуб «проеден».
На второй поставили пломбу без предварительного удаления нерва.
Обошлось.
Причём самое непонятное для родителей: зубы-то не болели.
Да, бессимптомное течение это конёк этих коварных полостей.
Так что давайте следить за зубами детей и вперёд на проф осмотр к детскому стоматологу.
PS: ребёнку на фото 5 лет.
Зубы молочные.
Читайте также






