Как реставрация одного зуба меняет улыбку.

3 минуты на чтение
3
Такое тоже случается в нашей практике.
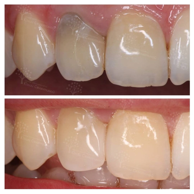
Пациентка обратилась в #ЦентрСелютиной из-за потемневшего зуба.
Это верхний боковой резец.
Он был пролечен в другой клинике 20 лет назад, но стал темнеть.
Из-за этого девушка стеснялась улыбаться, ведь все увидят этот некрасивый темный зуб.
Что сделала наш эндодонтист Галина Базылева?
Прежде всего снимок — без этого поставить диагноз и определить дальнейший ход лечения невозможно.
Канал был запломбирован цементом — именно он окрашивается и зуб приобретает черный, серый или зеленоватый цвет.
✔️Старый цемент убрали;
✔️Каналы прочистили и пролечили заново;
✔️Запломбировали новым биосовместимым материалом;
✔️Сделали красивую, эстетичную реставрацию.
Цвет зуба вернулся к прежним параметрам.
Отслеживали в динамике по фото: через 3 дня и спустя неделю.
Красота, правда?
Крутая работа и крутой результат!
Читайте также






