Как расширить узкую челюсть?

3 минуты на чтение
3
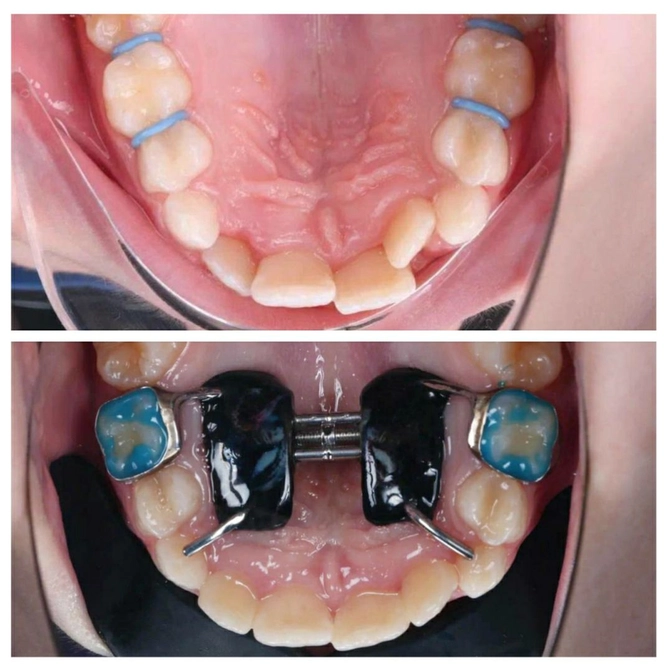
Он несъемный, позволяет расширить верхнюю челюсть ребенка.
Это нужно для исправления прикуса и неправильного положения зубов.
Аппарат Haas позволяет сделать это более эффективно, комфортно и с хорошим прогнозом.
Носится на протяжении всего периода лечения и не снимается ребенком самостоятельно.
Подкручивает его врач на плановом приеме.
Пациенту 9 лет.
Сейчас как раз период сменного прикуса и есть показания к установке пластинки.
А именно: глубокий прикус, сужение зубных рядов, скученность в переднем отделе.
Лечение будет проводиться в несколько этапов:
1. Расширение на аппарате Haas.
2. Установка окклюзионных накладок для коррекции глубокого прикуса.
3. Брекет-система в постоянном прикусе 50/50.
Задачи, которые нужно решить сейчас, в сменном прикусе:
• создать место постоянным зубам,
• подготовить к полноценному лечению на брекетах,
• снизить сроки и степень сложности коррекции в будущем.
Работа Оксаны Ильиченко (Журавской).
Результат на фото после 4-х месяцев ношения аппарата Haas.
✔️Это только первый этап, и он прошел на ура!
Не потребовалось никакой дополнительной аппаратуры для исправления положения передних зубов.
В результате расширения произошла самокоррекция положения зубов верхней челюсти.
Читайте также






