Как быстро прогрессирует кариес

3 минуты на чтение
3
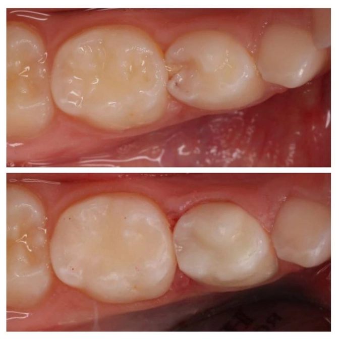
Ребенку 6 лет.
Пришел на плановый осмотр к доктору Марии Штельмах.
Сделали рентген и что увидели?
Скрытый кариозный процесс! Посмотрите снимок в карусели, и сами увидите, насколько глубоко проник кариес.
Такое нельзя оставлять надолго без внимания и поэтому вместе с родителями решили в следующее посещение зуб лечить.
Но режим самоизоляции внес свои коррективы и на прием они уже приехать не смогли.
Первичный осмотр и снимок были сделаны в конце марта.
Спустя 1,5 месяца мы уже видим кариес без рентгена невооруженным глазом.
Вот так быстро протекают у детей кариозные процессы!
Задумайтесь в очередной раз, когда откладываете визит к детскому стоматологу.
Полость стала намного глубже.
Диагноз - пульпит.
Зуб пролечили и восстановили пломбировочным материалом.
Напоминаю, что на профосмотры нужно приходить не реже 1 раза в полгода.
Особенно, если что-то беспокоит.
Читайте также






