Как быстро прогрессирует кариес раннего детского возраста?

3 минуты на чтение
3
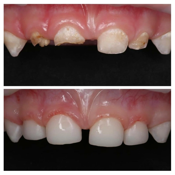
И уже все верхние центральные зубы были поражены кариесом.
Просмотрите фото.
Там поймёте.
По объективным для родителей причинам они решили лечение не проводить.
Очень хотелось подождать, пока ребёнок подрастёт и пойдёт на контакт.
Плюс далеко не все реально оценивают «возможности» кариеса.
В раннем детском возрасте он настолько агрессивен, что буквально сжирает зубы ребёнка.
Примеров приводила массу.
В октябре 2021-го пациенты пришли снова.
Усугубившаяся картина перед вами на фото.
Кариес на резцах уже перерос в пульпит.
А это уже совсем другой диагноз.
Совсем другая тактика лечения — гораздо сложнее.
Соответственно, вырастает и стоимость.
Стоит ли говорить, что ребёнок так и не достиг возраста сотрудничества со стоматологом?
К сожалению, нет.
Лечение проводилось в условиях медикаментозного сна.
Малыша приняла в свои заботливые руки детский стоматолог Ольга Новикова.
✔️4 верхних резца доктор Новикова пролечила от пульпита;
✔️9 зубов вылечила от кариеса;
✔️Провела профессиональную гигиену полости рта, потому что все зубки были в желтом налете — гигиена страдает;
✔️Родителям дала рекомендации по домашнему уходу.
Читайте также






