Исправление прикуса с помощью пластинок.

3 минуты на чтение
3
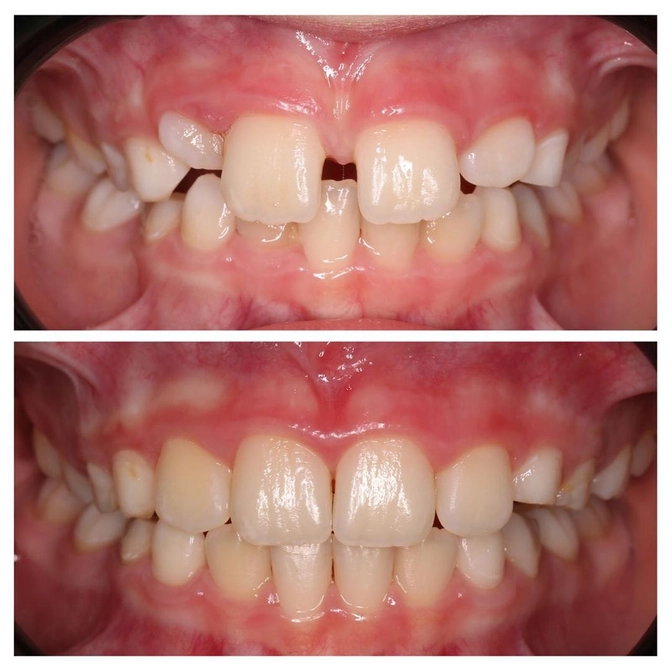
Наглядный пример, как с помощью пластинки собрали и выровняли зубки.
Свою работу блестяще сделала наш ортодонт Оксана Ильиченко.
А по-другому мы и не умеем, только качество и отличный результат!
Мальчику 8,5 лет.
В анамнезе имеется:
• глубокий прикус;
• сужение зубных рядов;
• диастема - щель между верхними центральными резцами;
• дефицит места для боковых резцов на верхней челюсти.
Весь этот комплекс проблем был устранен за 1 год!
Пациент исправно носил съемный пластиночный аппарат и регулярно посещал приемы у нашего ортодонта.
Как видите, положительный эффект достигается совместной работой врача и пациента.
Без должного участия лечащегося такого результата не достичь.
Браво Оксане и ее ответственному пациенту.
Читайте также






