Исправление прикуса: результат за год.

3 минуты на чтение
3
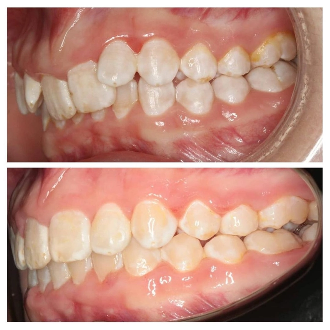
Отличную работу провела наш ортодонт Диана Кива.
Пациент все указания врача выполнял точно и вовремя, благодаря этому время лечения сократилось почти в 2 раза!
Ровно 1 год потребовался, чтобы исправить прикус и положение зубов.
Но вы уже наверняка обратили внимание на "пятнистые" зубы.
Это поражение называется флюороз.
Такой порок развития возникает ДО ПРОРЕЗЫВАНИЯ зубов при длительном употреблении воды или продуктов с повышенным содержанием фтора.
До сих пор многие ортодонты не берутся исправлять прикус, если зубы поражены флюорозом.
Всё потому, что брекеты якобы отклеиваются от измененной эмали.
Но технологии не стоят на месте!
В современных стоматологиях при должном уровне профессионализма ортодонты не боятся лечить таких пациентов.
Доктор Кива справилась отлично!
В процессе лечения этого пациента у него не отклеился ни один брекет и состояние эмали совершенно не ухудшилось.
✔️Напомню, что флюороз — заболевание эндемического характера, т.е. характерно для местности, где в питьевой воде превышено содержание фтора (даже если вы ее не пьете, а просто готовите на ней).
Оптимальная концентрация фтора в водопроводной воде 0,7–1,2 мг/л.
• нижняя граница нормы 0,5 мг/л;
• верхняя граница нормы 1,5 мг/л.
Поинтересуйтесь, какие показатели в вашем регионе проживания.
Читайте также






