Использование аппарата Haas: показания и результаты.

3 минуты на чтение
2
Правильный прикус предостережет от многих заболеваний.
А когда за дело берется наш ортодонт Оксана Журавская голливудская улыбка обеспечена каждому!
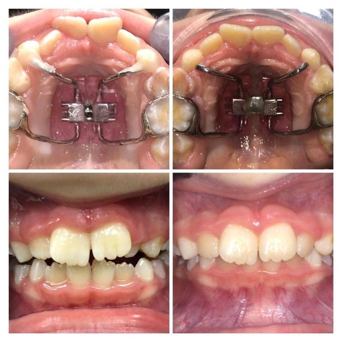
Смотрите, что было «до» и какой результат спустя 4 месяца.
Причем из них активный период лечения - всего 3 недели!
Такого результата смогли добиться с помощью аппарата Haas.
1. Здесь было проведено быстрое небное расширение.
2. Мы добились значительного увеличения места для фронтальной группы зубов верхней челюсти.
3. Простимулировали рост и развитие нижнего зубного ряда.
4. Расширили носовые ходы, улучшив дыхание.
5. Дальше планируем поработать над эстетикой, немного расширить челюсть с помощью дуги Питтса.
Поставим «детскую» брекет-систему 2*4 всего на пару месяцев.
Вот такой хитрый и гипер-эффективный план лечения.
Хотите, расскажу и покажу потом, чем все закончилось?
Читайте также






