Информация для родителей, боящихся лечения зубов под наркозом...

3 минуты на чтение
3
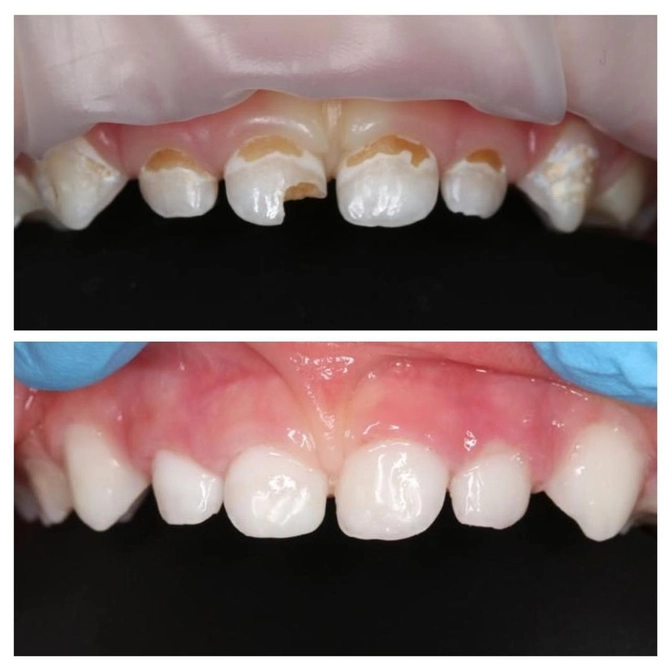
Маленькому пациенту 3 года.
Поражено большое количество зубов, и разрушение стремительно набирало обороты.
Но малыш наотрез отказывался идти на контакт, зубки посмотрели кое-как, он очень сильно плакал.
Домашняя гигиена тоже страдает из-за характера малыша — чистить зубки не дает + сыграл роль генетический фактор.
Поэтому решено лечить в наркозе.
Работа в копилке нашего детского стоматолога Марии Штельмах.
Несмотря на глубокие полости, обошлось только множественным кариесом.
✔Вылечено 10 зубов!
✔3 часа в наркозе!
Работа сложная, кропотливая, требует максимальной концентрации, усердия и скорости.
Сами посудите, работать 3 часа без перерыва!
Если сомневаетесь по поводу лечения под наркозом, то можете прийти в #ЦентрСелютиной на консультацию.
Вам в подробностях расскажут об анализах, проведении процедуры и самом наркозе.
Вы получите консультацию анестезиолога-реаниматолога.
И за одно посещение будет сделан огромный объем работы без слез, истерик и уговоров неконтактного ребенка.
Читайте также






