Имплантация и протезирование центрального зуба

3 минуты на чтение
2
Имплант+коронка в зоне улыбки.
Почему-то у многих пациентов возникают сомнения и неуверенность при таком раскладе.
Они считают, что коронка будет выделяться на фоне родных зубов или что имплант будет заметен.
А фронтальный отдел это ведь в первую очередь эстетика.
Переходим к клиническому случаю.
У пациента перелом бокового резца — смотреть больно.
Здоровый нормальный зуб и, увы, придется заменить его имплантом.
➖Восстановить коронкой не получится, т.к. перелом глубокий, коронковая часть утрачена.
➖Подрезать десну тоже не выйдет — будет слишком большой дефект на нёбе.
➖Даже вытянуть зуб ортодонтически не получится, потому что корень короткий.
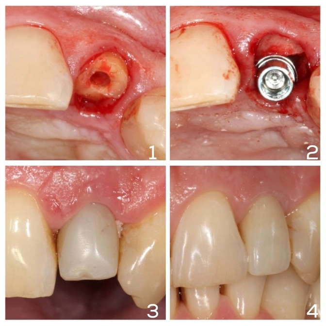
✔️Выход один — удаляем корневую часть зуба и одномоментно устанавливаем имплант.
Сверху фиксируем временную коронку, пока изготавливается красивая постоянная.
Временная коронка короче остальных зубов, чтобы не задевать ее при кусании, жевании и разговоре.
В финале лечения получаем крутой результат✔️
Керамическая коронка идеально вписывается в зону улыбки.
Эстетика не пострадала, искусственный зуб не отличить от родных.
Вот такого эффекта мы всегда стремимся достичь.
Браво доктору Фоменко!
Читайте также






