Гипоплазия эмали постоянных зубов.

3 минуты на чтение
3
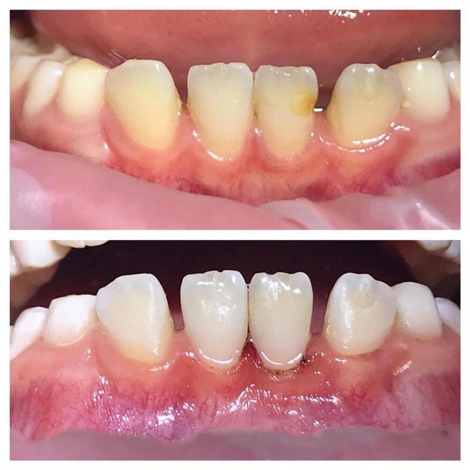
Если бы!
Как думаете, что на фото?
Не кариес и не налет, это – гипоплазия, причем на постоянных зубах!
Они сразу прорезались такими.
А девочке всего 7 лет.
Гипоплазия – некариозное поражение зубов, порок развития твердых тканей.
Она проявляется в виде:
•Белесых пятен на поверхности зуба
•Бороздок
•Ямок
•Сколов
Затрагивает как молочные, так и постоянные зубы.
В последнем случае причиной появления могут стать:
1. Перенесенные в первые 3 года жизни острые инфекционные заболевания, болезни ЖКТ, рахит и прочие.
2. При продолжительных заболеваниях участки гипоплазии на эмали увеличиваются:
Легкие формы грозят лишь белесыми пятнами.
Тяжелые – могут стать причиной частичного или даже полного отсутствия эмали.
3. Травмы или промедление с лечением молочного зуба, может повлечь воспаление и стать фактором развития местной гипоплазии постоянного зуба.
Самое важное отличие этого заболевания от других – зуб СРАЗУ прорезывается таким.
Если нарушение появилось потом – это точно не гипоплазия.
- При незначительном изменении оттенка глобальные стоматологические процедуры не нужны.
Просто тщательно чистите зубы, регулярно мажьте реминерализирующими средствами и делайте процедуру фторирования у стоматолога.
- Если начались изменения структуры зуба – придется ставить пломбы, коронки или виниры.
Все зависит от вашей ситуации и финансов.
В нашем случае был риск развития агрессивного кариеса.
Если он возникнет, то быстро разрушит зубы.
Защитит от этого – процедура реставрации.
С чем просто замечательно справилась наша Оля Новикова.
Читайте также






