"Эстетика" серебрения молочных зубов.

"Эстетика" серебрения молочных зубов.
3 минуты на чтение
3
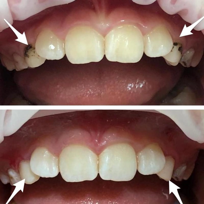
Ну не нравится мне серебрение и его такой явный «побочный эффект»
Искренне не понимаю эту методику и не устану об этом говорить.

Автор статьи:

Селютина Юлия Игоревна
base banner img

Начните свой путь к красивой улыбке

Telegram Max

Читайте также

Все, что вы должны знать о молочных зубах.
17.01.2025 3–5 мин
Все, что вы должны знать о молочных зубах.
Если челюсти ребенка слишком узкие...
17.01.2025 3 минуты на чтение
Если челюсти ребенка слишком узкие...
Лечение молочной "пятерки": кариес жевательного зуба.
17.01.2025 3 минуты на чтение
Лечение молочной "пятерки": кариес жевательного зуба.
Какие зубы можно не лечить?
17.01.2025 3 минуты на чтение
Какие зубы можно не лечить?
Можно ли ставить брекеты на виниры и коронки?
17.01.2025 3 минуты на чтение
Можно ли ставить брекеты на виниры и коронки?
Если зуб потемнел..
17.01.2025 3 минуты на чтение
Если зуб потемнел..